Kostenloses Online-Live-Event für alle Zahnärzte und Zahntechniker, 
die wissen wollen, wie einfach und effizient
zentrisch stabiler und funktionell optimaler Zahnersatz gefertigt wird.

 Neue weltweit einmalige Innovation: Kieferrelation in 3D!

Wie Sie es schaffen, zentrisch stabilen und funktionell optimalen Zahnersatz zu fertigen,
ohne die Okklusion wieder und wieder manuell nachschleifen zu müssen!

„Wenn du weiterhin machst, was du immer schon gemacht hast, wirst du weiterhin erreichen, was du immer schon erreicht hast.“


Leider gilt diese Maxime immer weniger: die Zahl der Patienten mit Funktionsstörungen, sprich CMD nimmt immer mehr zu. Aufgrund der zunehmenden Verwendung von monolithischem Vollzirkon entstehen keine Abplatzungen mehr, der Verlierer ist das Kiefergelenk. Patienten informieren sich immer mehr online, werden aufgeklärter und die Zahl der Gerichtsurteile für „mangelnde Behandlung aufgrund funktioneller Fehlstellungen“ nimmt zu. Auch wenn die Funktionsdiagnostik durch die Krankenkassen nicht bezuschusst wird, so ist sie doch eine zwingend notwendige Diagnostik vor einer prothetischen Rekonstruktion. Besonders für Patienten mit Funktionsstörungen, abgekauten Zähnen oder Zahnfehlstellungen.

Ich lade Sie ein, ihr Blickfeld zu schärfen. Werden auch Sie sicher in der Funktionsdiagnostik.

Sie erhalten klare verständliche Informationen über die notwendigen Maßnahmen und können so sicher den Patienten rekonstruieren, ohne großen finanziellen oder zeitlichen Aufwand.

(Webinare finden regelmäßig statt, Dauer jeweils 90 Minuten)

NEUARTIGES INNOVATIVES  INTERAKTIVES VIDEO TRAINING...

Mit AVOSAX bieten Zahnärzte und Labore zum ersten Mal die Möglichkeit einen physiologisch-funktionell perfekten individuellen Zahnersatz herzustellen.

avosax-bildfolge-1.jpg

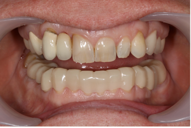
Herzlich Willkommen - lassen Sie uns heute mit einer – für viele Zahnärzte und Dentallaboristen – „bitteren Pille“ starten: AVOSAX im Dentalbereich ist großartig, wenn Sie auch Wert auf eine Verringerung der Stuhlzeit / Patient wünschen. Das funktioniert aber nicht immer.

Warum? Gerade die Patienten, die auf eine optimale Zahnprothetik gepaart mit einer schnellen und zeitsparenden Behandlung Wert legen, werden es nicht verzeihen, wenn sie 2-4 mal zur Nachkorrektur ihres Zahnersatzes in einer Praxis erscheinen müssen.

Mit unserem Avosax System bauen Sie bei Ihrer Wunschkundengruppe schneller und tiefer Vertrauen auf – von der ersten Besprechung in der Praxis bis hin zum „großen“ Finale – der Übergabe des Zahnersatzes.

Das bedeutet: AVOSAX ist ideal für Zahnärzte und Dentallabore, die hochwertige, einwandfreie Prothetik zu schätzen wissen und ihren Kunden damit einen echten Vorteil bieten möchten, denn mit dem AVOSAX System ist es möglich, funktionellen und zu 100% passenden Zahnersatz zu fertigen, ohne aufwendige Nacharbeiten!

WAS SIE LERNEN WERDEN

Drei einfache Schritte zu maximaler Sicherheit 

#1

Wie wäre es, mit nur 10 Minuten Aufwand am Patienten ,alle Parameter für einen zentrischen stabilen und funktionell sicheren Biss zu erhalten?

#2

Was wäre, wenn Sie ein System an die Hand bekommen, mit dem Sie die okklusalen Verhältnisse Ihres Patienten sicher diagnostizieren und der Therapieplan „ein Kinderspiel“ wird?

#3

Wie wäre es, Sie hätten ein System durch welches Sie die individuellen Bewegungsmuster Ihres Patienten in einen Kausimulator hinterlegen können, welcher all diese Bewegungen 1:1 wiedergeben kann.

Noch nie war funktionelle Zahnprothetik so einfach!

avosax-infoveranstaltungen1.jpg

Wie würde es Ihnen gefallen, mit einem System ALLE komplexen Bewegungen der Kiefergelenke 1:1 im Artikulator darstellen zu können? 

Das AVOSAX-System wird Sie begeistern: mit umfassender Funktionsdiagnostik zur patientengerechten Therapie.

  • PHYSIOLOGISCH
  • REPRODUZIERBAR
  • INTERFERENZFREI

mit umfassender Funktionsdiagnostik zur patientengerechten Therapie.

Thomas Pohland.jpg

Ich bin Thomas Pohland

 

Zahntechnikermeister und beschäftige mich seit 30 Jahren mit dem Thema Funktion. Während dieser Zeit haben wir nahezu alle Systeme (Zebris, IPR, DIR etc.), die es für Zentrik und Axiographie auf dem Markt gibt, angewendet. Doch die Ergebnisse waren nicht zufriedenstellend.

 

Erst mit der Anwendung des AVOSAX-Systems lieferten wir den Patienten Zahnersatz, der ohne okklusale Korrekturen sofort eingesetzt werden konnte. Kennen Sie das auch? Ihr Patient mit Funktionsstörungen hat stark abgekaute Zähne. Mit seiner Schiene ist er stabil, doch Sie sind sich immer noch unsicher, ihn in definitiven Zahnersatz zu überführen. Mit AVOSAX haben Sie alle Voraussetzungen, dass dies optimal gelingt.

CMD ade!

Hoppelpiste oder perfekte Landebahn? Einschleifen oder funktionelles Optimum?

Bis heute waren Zahnärzte und Zahntechniker darauf angewiesen, sei es bei der Schienentherapie, bei der KFO-Behandlung oder bei der Herstellung von Zahnersatz, mit der Bissnahme die Zuordnung der Kiefer auf die Modelle zu übertragen.

Sie wissen, kein Patient kann, wenn er Bissmaterial zwischen den Zähnen hat, unbeeinflusst die Zahnreihen schließen, trotz professioneller Führung durch den Zahnarzt. Obwohl Zahnarzt und Zahntechniker in der statischen Position objektiv alles richtig gemacht haben, sind die Ergebnisse oft unbefriedigend und schaffen häufig Probleme.

Bislang war keiner in der Lage, alle Details der höchst individuellen Kaubewegungen zu erfassen und in den Artikulator zu übertragen, um diese für die Therapie und definitive Versorgungen zu nutzen.

Stellen Sie sich vor, Sie hätten ein System, mit dem Sie in der Lage wären, alle individuellen Kaubewegungen dreidimensional zu erfassen, zu simulieren und diese bei der Herstellung von Schienen, Zahnersatz und für die KFO-Behandlung 1:1 umzusetzen, auch ohne Anwendung hochkomplizierter digitaler Technik.

Ein System das komplett analog funktioniert. Im Ergebnis für Zähne sorgt, die nicht nur statisch sondern auch dynamisch gut passen und das von Anfang an.

Weg von der Hoppelpiste, hin zur anatomisch und physiologisch perfekten Landebahn unter Berücksichtigung von Okklusionsebene, Zentrik und Dynamik. AVOSAX – das mit Abstand schnellste System für Zentrik und Achsiografie.

Und stellen Sie sich vor, Sie müssen keinen „Mittelklassewagen“ investieren wie beim Kauf elektronischer Systeme und das ohne Folgekosten für Wartung, Updates etc.

 

AVOSAX_System_Scha¦êdel_Seite.jpg
patient1.png

Kiefergelenkdysfunktionen

können zu ganz unterschiedlichen Symptomen führen. Im dargestellten Fall litt die Patientin an multiplen Beschwerden. Dem Zahnarzt kommt bei der prothetischen Therapie in einem solchen Fall eine hohe Verantwortung zu. Basis ist die initiale Therapie. Danach erfolgt die funktionell orientierte Rekonstruktion der Zähne in der neu ermittelten Kieferrelation – zunächst über Langzeitprovisorien.

Immo Scout24 User Experience, Portfoliooptimierung, Nachhaltigkeitsgeschäft

Beschwerdebild

Die Patientin schilderte ihre Beschwerden in der Zahnarztpraxis. Sie hatte starke Schmerzen im Schulter- und Wirbelsäulenbereich. „Zudem beeinträchtigen mich unangenehme Schmerzen und Geräusche der Kiefergelenke“, sagte sie und klagte zudem über Tinnitus und ständig laufende Nase. Die Ursachen der Beschwerden seien bislang nicht geklärt. Die Patientin konsultierte bereits verschiedenste Fachärzte (Kardiologen, Orthopäden, HNO-Arzt). Ihre Mundgesundheit war gut. Sie hatte mehrere festsitzende Restaurationen im Ober- und Unterkiefer. Teilweise waren freiliegende Zahnhälse sichtbar. Der unharmonische Verlauf des Zahnfleisches sowie Farbe und Form der keramischen Versorgungen beeinträchtigten das ästhetische Bild.

Immo Scout24 User Experience, Portfoliooptimierung, Nachhaltigkeitsgeschäft

Kiefergelenkdiagnostik mit AVOSAX

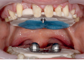
Zunächst wurde diagnostiziert, ob die Beschwerden auf eine Dysfunktion der Kiefergelenke respektive eine falsche Bisslage zurückgeführt werden können. Für die Kiefergelenkregistrierung kam das AVOSAX-System zum Einsatz. AVOSAX ist ein analoges Messsystem, bestehend aus einem speziellen Kausimulator, mit dem alle Dimensionen der Kiefergelenke patientenspezifisch abgebildet werden. Was ist der Nachteil herkömmlicher Methoden? Aufgrund der starren Führung von konventionellen Artikulatoren sowie des Fehlens der elastischen Gelenkscheibe können die vielseitigen Kiefergelenkbewegungen nicht dargestellt werden. Hier geraten diese Apparaturen an ihre Grenzen.

Immo Scout24 User Experience, Portfoliooptimierung, Nachhaltigkeitsgeschäft

AVOSAX: Wie funktioniert’s? 

Vor diesem Hintergrund wird die Genialität von AVOSAX glasklar deutlich. Die Patientendaten werden intraoral validiert. Bei der analogen Messung der Unterkieferbewegungsräume wurden die Volumina der Kiefergelenkräume als Ergebnis der Muskelfunktion erfasst. Über das Prinzip eines Pantografen konnten nun alle relevanten Bewegungen in eine Duplikatform überführt werden. Dieses Duplikat ist die analoge Arbeitsgrundlage für die weiteren Schritte. Der vollständige Bewegungsraum der Kiefergelenke konnte nun vollwertig und quasi „live“ im AVOSAX-Bewegungssimulator nachgeahmt werden.

Immo Scout24 User Experience, Portfoliooptimierung, Nachhaltigkeitsgeschäft

Weiterführende Therapieschritte

Das AVOSAX-System bringt Gewissheit: Die Beschwerden der Patientin konnten auf die vorhandenen Restaurationen und die damit verbundene Beeinträchtigung der Kiefergelenke zurückgeführt werden. In Zusammenarbeit mit dem Dentallabor (DuoDental) werden die Therapieschritte besprochen. Zunächst erhielt die Patientin eine AVOSAX-Schiene, die perfekt auf ihre individuelle Situation angepasst wurde. Schon bald stellte sich eine Linderung der Beschwerden ein. Nach einigen Monaten beurteilte der Zahnarzt die Bisslage als stabil. Es wurde ein Langzeitprovisorium aus zahnfarbenem Kunststoff hergestellt. 

Immo Scout24 User Experience, Portfoliooptimierung, Nachhaltigkeitsgeschäft

Ergebnis

Die Testphase mit den Langzeitprovisorien bestätigte den korrekten Biss. Die Patientin ist schmerzfrei! Im nächsten Schritt sollten die provisorischen Kronen gegen vollkeramische Kronen ausgetauscht werden. Die Bisslage wurde – so wie bei der AVOSAX-Vermessung definiert – exakt eingehalten.

 

Mit diesem schrittweisen Vorgehen, basierend auf einer exakten Validierung der Bisslage mit AVOSAX, können Patienten mit Kiefergelenkbeschwerden verantwortungsvoll therapiert werden.

DAS REVOLUTIONÄRE WEBINAR FÜR ZAHNÄRZTE UND DENTALLABORE

Sie erhalten als Zahnarzt und Dentallabor alles was Sie benötigen, um funktional optimal passenden Zahnersatz konstruieren zu können - ohne dabei aufwendige Nacharbeiten anfertigen zu müssen.

AVOSAX - Die Revolution der Funktionsdiagnostik!

Patientenorientierte Zahnärzte und Dentallabore setzen auf die funktionelle Prothetik, die dank des AVOSAX so spielend leicht umsetzbar ist: Individuelle Erfassung, Verarbeitung und Bereitstellung aller wesentlichen Parameter unter funktionell anatomischen Aspekten - und das ganz ohne lästige Nach-Arbeiten.

avosax-bildfolge-1.jpg

AVOSAX

Ein für jeden Patienten individueller Artikulator  - mit diesem diagnostizieren Sie optimal und sicher.

AVOSAX_Logo_RZ.jpg

Dr. Dirk Seidel, Zahnarzt

„Das AVOSAX-System ermöglicht meinen Patienten eine schnelle, kostengünstige und funktionsdiagnostisch genaue Versorgung."

Ich kann bereits über eine 3-jährige positive Erfahrung, mit dem AVOSAX-System berichten. Weit über 100 Patienten meiner Praxis sind mit dem System von mir registriert, umfassend diagnostiziert und erfolgreich therapiert worden. Aus der Sicht als Zahnarzt benötige ich zur Vortherapie (Schienenversorgung) die physiologische Zentrik, sowie die 3-dimensionalen Kiefergelenksbewegungsräume und als wichtige Diagnostikgrundlage die anatomisch korrekte Kauebene parallel zur Camperschen Ebene.

Somit kann man endlich auf diese schnelle, kostengünstige, reproduzierbare Weise eine sichere Grundlage schaffen, für alle weiteren Behandlungsschritte. Meine Patienten sind sehr positiv überrascht, wie einfach, schnell und ohne großen beängstigenden Geräteaufwand diese AVOSAX-Messung in wenigen Minuten gemacht ist. Aufgrund von meinen vielfältigen Erfahrungen mit anderen Funktionsmesssystemen begeistert mich beim AVOSAX-System die sichere, einfache Anwendung, ohne den Patienten zu belasten.

Super ist außerdem die Reproduzierbarkeit und man bekommt alle Informationen vom Kausystem des Patienten zu geringen Kosten.

Als Fazit kann ich sagen, dass sich der Kreis um die Problematik der Funktionsdiagnostik somit geschlossen hat.

Was werden Sie mit diesem System erreichen?

Benutzen Sie dieses System, so werden Sie ihre Patienten funktionell sicher diagnostizieren. Aber nicht nur die Diagnostik ist möglich, Sie erhalten auch ein System, mit dem Sie mit ihrem Zahntechniker die Prothetik 1:1 umsetzen können. Sie und ihr Zahntechniker werden zu gefragten Spezialisten auf diesem Gebiet. Das Vertrauen ihrer Patienten ist Ihnen sicher.

Seien Sie bei diesem kostenlosen Webinar dabei! Investieren Sie 90 Minuten Ihrer Zeit!

(Webinare finden regelmäßig statt, Dauer jeweils 90 Minuten)

Hinweis:

Die Angebote & Inhalte dieser Seite richten sich nur an Gewerbetreibende & Unternehmen im Sinne des §14 BGB.

*This site is not a part of the Facebook TM website or Facebook TM Inc. Additionally, this site ist NOT endorsed by FacebookTM in any way. FACEBOOK TM is a trademark of FACEBOOK TM, Inc.